PLACAS MIORRELAJANTES
Sistema Integral Presencial –
Días y Horarios en que podés cursar.
• Martes de 09.00 hs a 13.00 hs y de 17.00 hs a 21.00 hs.
• Juevesde 09.00 hs a 13.00 hs y de 17.00 hs a 21.00 hs.
• Sábados: 09.00 hs a 13.00 hs.
Acerca del Curso
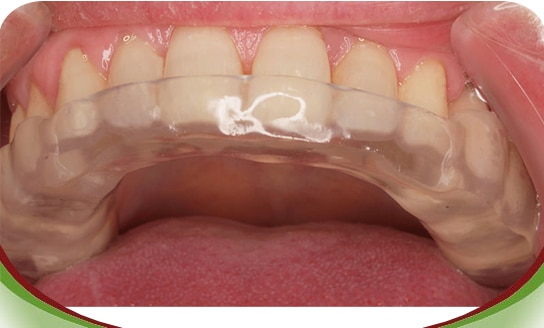
Son dispositivos bucales usados para tratar trastornos temporomandibulares y problemas de bruxismo.
Hay 3 tipos:
- Placa rígida de acrílico
- Placa semirrígida
- Placa blanda.
Qué vas a Aprender a hacer ?
- Placas Miorrelajantes Rígidas ( acrílico)
- Placa Miorrelajante Semirígida ( termoformada)
- Placa Miorrelajante Blanda ( termoformada)
4,8
+ de 300 estudiantes ya hicieron este curso.
Beneficios
- Acceso al material Online
- Clases Teórico- Prácticas
- Certificado de Graduación.